Ubiquinon-10 (auch als Coenzym Q10 bekannt)

Im Jahr 1957 entdeckten Wissenschaftler, darunter Professor Karl Folkers, nach intensiven Forschungen den faszinierenden Nährstoff Q10, der für die menschliche Gesundheit von erheblicher Bedeutung zu sein scheint. Auf Grundlage seiner sehr vielfältigen und wichtigen Funktionen wird das Coenzym Q10 auch Ubiquinon (Ubi abgeleitet vom lateinischen Wort ubiquitär = überall) genannt. Teils auch mit Namen aus dem Latein / Wissenschaft anders benannt was schnell zu Verwirrungen führen kann.
- Ubiquinol auch als Ubichinol bezeichnet
- Ubiquinon-10 auch als Ubichinon oder Q10 bezeichnet
Im Jahr 2006 tauchte dann eine neue Form des Coenzym Q10 am Markt auf und trägt noch Heute die Bezeichnung Ubiquinol oder Ubichinol und wurde mit einer clever angelegten Marketingstrategie versucht, Ubiquinol als das neuere und bessere Coenzym Q10 zu vermarkten, da dieses leichter (Faktor 8 laut Studien) vom Körper aufgenommen wird und dem Ubiquinon-10 diesbezüglich überlegen ist.
Dieses Marketing verwirrte die Verbraucher als auch die Welt der Wissenschaftler und diese fingen nun an die traditionelle altbekannte Coenzym Q10-Form (Ubiquinon-10) in Frage zu stellen, obgleich dies schon seit sehr langer Zeit auf dem Markt etabliert und frei erhältlich ist, zudem in vielen wissenschaftlichen Studien eingesetzt und auch mehrfach belegt wurde. Nun stellte sich die berechtigte Frage, gibt es denn wirklich einen Unterschied zwischen Ubiquinol und Ubiquinon-10 und was ist besser ? Aber erst etwas globale Infos zu Coenzym Q10.
Kopenhagen: Das Coenzym Q10, dessen Einsatz von den meisten Kardiologen sehr skeptisch angesehen wurde, hat in einer randomisierten Doppelblindstudie die Sterberate von Patienten mit schwerer Herzinsuffizienz (NYHA III/IV) glatt halbiert. Auf der Fachtagung Heart Failure 2013 in Lissabon, wo die noch nicht publizierten Ergebnisse vorgestellt wurden, wurde damals aber vor einem voreiligen Einsatz des antioxidativen Vitamins Q10 (egal welche Form) als Nahrungsergänzungsmittel gewarnt und dies trotz deutlichem Ergebnis und Erfolg innerhalb einer weltweit anerkannten Studie.
Ubichinon-10 ist übrigens die aktuelle und wissenschaftlich richtige Namensgebung und die Bezeichnung Coenzym Q10 gilt mittlerweile, genau wie die Einstufung als ein Vitamin, als veraltet und wird so eigentlich nicht mehr bezeichnet. Viele Produktangebote am Markt laufen aber nach wie vor unter dem Namen Q10, da sonst die Gefahr der Verwirrung bei den Q10 Anwendern zu Irritationen führen könnte und dem gesunden Q10 Absatz schaden könnte.
Es ist wissenschaftlich jedoch noch nicht zu 100 Prozent belegt, dass Ubiquinol überhaupt besser als das klassische Ubichinon-10 ist. Einzig die Rohstoffe haben unterschiedliche Farben, Ubiquinol ist milchig-weiss und das alte Ubiquinon-10 ist dabei gelblich und aus biochemischer Sicht ist Ubiquinol auch noch weniger stabil. Hierzu sind aber scheinbar nur sehr wenige Informationen verfügbar, da wir diesbezüglich nur gewisse Teile in der internationalen Fachliteratur finden konnten.
Unterschiede ???
Da die Herstellung von Ubiquinol wesentlich aufwendiger ist, so ist es für die Verbraucher als auch für die Wissenschaft deutlich teurer (wenn sie es in ihren Forschungsstudien einsetzen möchten) und ironischerweise wechselt das Coenzym Q10 im Körper in einem permanenten Kreislauf zwischen Ubiquinon-10 und Ubiquinol hin und her, was mit der biologischen Funktion des Coenzym Q10 zu tun hat. Wenn Sie also Ubiquinol einnehmen, so wandelt es sich in Ubiquinon-10 um und umgekehrt und dabei ist es vollkommen unerheblich welche der beiden Formen Sie zu sich genommen haben (Studiennachweis), einzig die Resorptiongeschwindigkeit von Ubiquinol war vorteilhaft und bei Personen über 30 Jahre sogar im Studiennachweis um den Faktor 8 besser.
- Ubiquinon-10 (die oxidierte Form) ist besonders wichtig für die Funktion, die Coenzym Q10 beim Energiestoffwechsel in den Zellen einnimmt (ATP-Synthese)
- Ubiquinol (die reduzierte Form) ist besonders wichtig für die antioxidative Funktion von Coenzym Q10.
Unser Körper bedient sich hier einfach, je nachdem ob sich das Coenzym Q10 im Blut und den Lymphen oder in den Mitochondrien (in den Zellen) befindet, so wandelt es sich in genau die Form um die in der jeweiligen Situation von uns benötigt wird. Dabei fungiert im Blut und Lymphen das Coenzym Q10 vor allem als Antioxidans und in den Mitochondrien unterstützt es den Energiestoffwechsel indem es je nach Bedarf viele male pro Sekunde zwischen der einen und der anderen Form hin und herwechselt.
Verschiedene Faktoren führen zu einem gesteigerten Coenzym Q10-Bedarf
- Physische als auch psychische Belastungssituationen mit hohem Energiebedarf;
- Hoher oxidativer Stress durch Überschuss an freien Radikalen
- Ü30 Alter da schon ab 30 die körpereigene Synthese sinkt, ab 40 massiv
- Beeinträchtigung der körpereigenen Produktion durch Medikamente (Statine, Antibiotika etc.)
Der grösste Gegner (Ü30) der körpereigenen Coenzym Q10 Produktion ist das natürliche älter werden, denn dadurch sinkt der Coenzym Q10 Wert im Blut um ca. 70 Prozent im
Laufe des Lebens ab und dieser Prozess wird ab dem 40. Lebensjahr deutlich spür,- und messbar (Blutbild). Mit steigendem Alter verschlechtern sich auch gerne mal die Cholesterinwerte und man bekommt dann schnell Statine (cholesterinsenkenden Mittel) verordnet und die wiederum wirken sich negativ auf Coenzym Q10 aus und reduzieren das Coenzym Q10 im Blut um ca. 40 Prozent was chronische Krankheiten wie z.B. Erschöpfung zur Folge hat. Autoimmunkrankheiten haben viel mit oxidativem Stress zu tun, auch hier kann Coenzym Q10, in egal welcher Form, nur von Vorteil sein.
Ein Coenzym im eigentlichem Sinn ist jedoch kein richtiges Enzym sondern ein Enzym-Helfer, der aber für die Arbeit der Enzyme von wichtiger Bedeutung ist. So spielt das Coenzym Ubiquinon-10 (Q10) eine äusserst wichtige Rolle im letzten Schritt der Atmungskette (ATP) und ist daher unersetzlich für die Energieversorgung unseres Körpers. Dabei hat das Ubiquinol laut Studie eine bis zu 8 mal bessere Resorption und bietet sich dann besonders für die Altersgruppen über 30 an, da es durch die bessere Bioverfügbarkeit im Darm besser aufgenommen wird.
Dabei neigt Ubiquinol zur Oxidation, da es reduziert ist;
Da Ubiquinol reduziert ist, neigt es dazu, zu oxidieren und sich bei der Oxidation wieder in Ubiquinon-10 umzuwandeln und es ist sehr schwierig zu gewährleisten, dass Ubiquinol seine nicht-oxidierte Form in einer Kapsel beibehält. Eine solch extrem sensible und verletzliche Substanz vor der Oxidation zu schützen, ist schon eine technische Herausforderung für die abfüllende Industrie / Hersteller. Ubiquinol weist eine milchig-weiße Farbe auf, während Ubiquinon-10 gelblich ist. Ob nun eine Ubiquinol-Kapsel tatsächlich Ubiquinol enthält, können Sie ganz einfach herausfinden, indem Sie eine Kapsel öffnen und den Inhalt herausdrücken. Ist er gelblich, so können Sie davon ausgehen, dass das Ubiquinol oxidiert ist und sich in Ubiquinon-10 umgewandelt hat. In diesem Fall haben Sie dann ggf. das günstigere Ubiquinon-10 erhalten und nicht das was sie bezahlt haben.
Die Sachlage ist, dass in der absoluten Mehrzahl aller Studien Ubiquinon-10 verwendet wurde und hier existieren unzählige klinische Studien mit dem Coenzym Q10 und nur bei einigen wenigen kam das neuere Ubiquinol zum Einsatz und somit gilt das Ubiquinon-10 als merkantil besser erforscht und wurde unzählige male in der Wirkung bestätigt. In einer neueren wegweisenden Studie mit Coenzym Q10 wurde bei Herzinsuffizienzpatienten, die Nahrungsergänzungsmittel mit Q10 einnahmen, eine um 43 Prozent geringeres Sterberisiko im Zusammenhang mit Herzproblemen festgestellt. In dieser Studie (Q-Symbio-Studie) wurde nur Ubiquinon-10 und nicht das moderne
Ubiquinol verwendet. Auch in einer weiteren Studie (KiSel-10) kam Ubiquinon-10 zum Einsatz und diese wurde 2015 veröffentlicht und zeigte eine um 54 Prozent geringere Sterblichkeitsrate bei älteren Menschen, die Präparate mit Ubiquinon-10 und Selen versorgt wurden. [Link zum Bild] Prof. K. Folkers wies bei einer täglichen Gabe von 100mg Q10 als Monopräparat eine positive Auswirkung bei Herzpatienten auf das Herzminutenvolumen und das Schlagvolumen des Herzens nach. Die Ergebnisse dieser Studie wurden als signifikant bezeichnet.
Was aber nicht heissen soll, das Ubiquinol schlechter ist, es wurden nur altbekannte Stoffe in den Studien verwendet und neuste Studien zeigen auch, das Ubiquinol mehr kann als bis Dato erforscht und belegt wurde. Alleine die Tatsache, wenn man über 30 bis 40 Jahre ist, so tendieren wir mehr zum Modernem Ubiquinol.
Ubiquinon / Ubiquinol wirkt als sogenannter Cofaktor (daher auch der Name Coemnzym) bei der oxidativen Phosphorylierung in der sogenannten Atmungskette mit, durch die ca. 95 Prozent der gesamten Körperenergie gewonnen wird. Der Biochemiker Peter Dennis Mitchell erhielt 1978 den Nobelpreis für Chemie, da er unter anderem die Funktion von Ubiquinon-10 bei der Energieumwandlung in den Zellen aufklärte (Mitchell P.: Coupling of phosphorylation to electron and hydrogen transfer by a chemi-osmotic type of mechanism; Nature; 191; 1961; S. 144-148).
Anwendungsgebiete:
- Antioxidans
- fördert die Fettverbrennung
- Fettleber / Lebergesundheit
- Straffere Haut
- Positive Cholesterinwert-Beeinflussung
- Herz-Kreislaufsystem
- Diabetes
- Migräne
- HiV / Aids
- Kräftige Muskeln (auch Bodybuilding)
- Fibromyalgie
- Parkinson
- Multiple Sklerose (siehe weiter unten)
- Nervengesundheit
- Entzündungen
- Immunsystemstärkung
- Gegen Infektionen
Das Feld der Forschung hat noch längst nicht alle positiven Eigenschaft in Studien belegt und man kann hier von vielen weitere Vorteilen von Ubiquinon-10 / Ubiquinol ausgehen und die Fortscher werden mit ziemlicher Sicherheit noch so einiges gutes herausgefunden und veröffentlichen.
Die Aufnahme von Ubiquinol und Ubiquinon-10 ist so gut wie identisch
Unabhängig von seiner Form wird Ubiquinon-10 von der Darmwand aufgenommen (so lange kein starker Biofilm die Darmwand bedeckt) sowie es sich im Körper befindet, wechselt es zwischen der einen und der anderen Form hin und her, je nach dem was der Körper gerade benötigt. Da Ubiquinon-10 über eine kristalline Struktur verfügt, ist seine Bioverfügbarkeit im Vergleich zu Ubiquinol nicht die beste, da unser Körper Kristalle nicht aufnehmen kann, deshalb muss Coenzym Q10 in einzelne Moleküle aufgespalten werden bevor es die Darmwand passieren kann. Bislang haben es nur wenige Coenzym Q10-Hersteller geschafft, eine stabile Formel zu entwickeln, die sicherstellt, dass der aktive Bestandteil optimal resorbiert werden kann. Das Coenzym Q10-Präparat, dessen Bioverfügbarkeit am besten dokumentiert ist, enthält Coenzym Q10 in Form von Ubiquinon-10 und nicht Ubiquinol. Dieses Präparat wurde speziell für die Q-Symbio- und die KiSel-10-Studie ausgewählt, da es über eine dokumentierte und zuverlässige Bioverfügbarkeit, Qualität sowie Anwendungssicherheit verfügt.
Vorsicht geboten sei vor allem bei Patienten, die orale Antikoagulanzien (Hemmung der Blutgerinnung wie z.B. ASS, Heparin, Marcumar etc.) einnehmen. Diese sollten unter einer Therapie mit jeglichem Q10 ihre INR-Werte im Auge behalten und auch regelmässig kontrollieren lassen.
Interessanterweise betonen die Forscher auch, dass es sinnvoller ist, bei der kostengünstigeren Form Ubiquinon-10 (also Coenzym Q10) zu bleiben, da der Körper beide Coenzym Q10-Formen ganz leicht in die jeweils andere Form umwandeln kann. Die Herstellung von Ubiquinon-10 ist eben deutlich günstiger. Ein anderer recht wichtiger Grund ist die Tatsache, dass Ubiquinol instabiler ist und dazu neigt sich in den Kapseln wieder in Ubiquinon-10 umzuwandeln, was dann pure Geldverschwendung wäre.
In der Nachsorge
Nach z.B. einer schweren Grippe etc. mangelt es den Mitochondrien (auch Kraftwerk der Zelle genannt) an Leistungskraft und bedeutet eine Störung der Energiebereitstellung, ein Mangel an Kraft und Leistungsfähigkeit (z.B. Müdigkeit, nach Antibiotika oder Viruserkrankungen). Hier gilt es den Mitochondrien zu helfen sich zu erholen um die volle Leistungsfähigkeit wieder bereitstellen zu können. Ein guter Ubiquinon-10-Status ist die Vorraussetzung für eine gut funktionierende Energie-Versorgung der Zellen und darüber hinaus fungiert Ubiquinon-10 und Abiquinol als weitere sehr potente fettlösliche Antioxidans, dass die sensiblen ungesättigten Fettsäuren in der Zellmembran vor der nachteiligen Oxidation schützt.
Alterung vorbeugen
In einer Tierstudie mit SAMP-1-Mäusen, die ja viel schneller altern als normal, wurde deutlich gezeigt, dass Ubiquinol und Ubiquinon-10 den Alterungsprozess signifikant hemmen und Ubichinol dabei viel wirksamer war als das altbekannte Ubiquinon-10.
Alleine diese Tatsache, dass Ubiquinol in der 2. Lebenshälfte wirksamer und besser bioverfügbar ist als das Ubiquinon-10 lässt uns dazu raten, bei einer Supplementierung auf ein hochwertiges Ubiquinol zurück zu greifen, am besten in Öl oder als schwer zu findende liposomale Form.
Die Supplementierung als Nahrungsergänzung mit einer Coenzym Q10-Form stört nicht die körpereigene Produktion von Coenzym Q10 und nach einiger Zeit der Zuführung der Nahrungsergänzung mit Ubiquinon-10 oder Ubiquinol kehrt der Plasmaspiegel von Coenzym Q10 auf einen gesunden Level zurück. [Studie]
Dosierung
Die höchste in einer Studie erreichte Q10-Plasmakonzentration durch Nahrungsergänzung mit Ubichinol betrug 9,2 µg/ml und dabei wurden den Probanden bis zu 2.400mg (siehe hier) verabreicht. Also wenn man nach den Angaben der jeweiligen Anbieter / Hersteller vorgeht, so kann man scheinbar nichts falsch machen, denn diese Produkte bewegen sich so um die 250mg je Kapsel / Dosis. Daher achten Sie bitte auf die angegebenen Mengen des jeweiligen Produktes wo Sie gekauft haben. Prof. K. Folkers gab den Probanden seiner Studie täglich 100mg Q10 als Monopräparat, siehe weiter oben.
Damit das verabreichte Coenzym Q10 von peripheren Geweben resorbiert werden und auch die Blut-Hirn-Schranke passieren kann, so sind
schon etwas höhere, supraphysiologische Blutspiegel des Coenzym Q10 erforderlich. Eine normale Q10-Plasmakonzentration liegt so bei 0,4-0,8 µg/ml. Eine Plasmakonzentration von mindestens 2,4-3,5 µg/ml ist aber erforderlich um bei einer Herzinsuffizienz eine therapeutische Wirkung zu erzeugen, während für einen klinischen Response bei neurodegenerativen Erkrankungen (wie z. B. der Parkinsonschen Krankheit) möglichst noch höhere Plasmakonzentrationen benötigt werden. [Studie] Mit Ubiquinon-10 ist es recht schwierig so hohe Q10-Plasmakonzentrationen zu erreichen. In den Dosis-Wirkungsstudien mit dem gängigen Ubiquinon-10 wurde deutlich, dass die Plasmakonzentration von Coenzym Q10 mit zunehmender Dosis unterproportional ansteigt. Dosierungen, die die Aufnahmefähigkeit von Ubiquinon-10 überschreiten, haben wenig Sinn und machen die Nahrungsergänzung nur unnötig teuer. [Studie]
Wie Sie links auf dem Bild (Erhebung von Dr. med. Darline Cheatham-Seitz, Stefan Spiess und Dr. rer. nat. Stephan von Beckerath) sehen können, spielen sehr viele Krankheitsbilder im direkten Nachweis zu Q10 eine nicht unwesentliche Rolle. Diese Tabelle zeigt die Q10-Plasmaspiegel-Konzentrationen auf, die im Rahmen von klinischen Studien bei Patientengruppen als Durchschnittswerte festgestellt wurden. Die Messung der Q10-Konzentration im Blut-Plasma ist mit einem Labortest (Hausarzt / Neurologe oder Endokrinologe) möglich. Der Q10-Plasmaspiegel beträgt bei einem durchschnittlichem gesunden 20-Jährigen Menschen ca. 0,85 µg/ml und dies kann man als gemittelten Normalwert betrachten.
Der Verzehr von Q10-Produkten kann andererseits die Wirkung von Hochdruckpräparaten über die Membranstabilisierung verstärken. Die ohnehin schon großartigen Ergebnisse der aufgezeigten Studienergebnisse hätten und wahrscheinlich noch erheblich verbessert
werden können, wenn die Ärzte die Erkenntnisse von Professor Oda bereits hätten berücksichtigen können. Er hat in einer Studie an 608 Patienten nachgewiesen, dass sich die beste Wirkungsentfaltung von Q10 bei Herz-Kreislauferkrankungen bei 3mg pro Kilogramm Körpergewicht ergibt und dieses Studienergebnis wurde inzwischen mehrfach bestätigt. Bei Krankheiten im neurodegenerativen Bereich haben sich Dosen von 6mg/kg als äusserst wirkungsvoll erwiesen. Ebenso in der begleitenden Krebstherapie sind diese hohen Gaben angezeigt.
Formel (Musterperson 50kg)
50kg x 3mg also 50 x 3 = 150 = 150mg/Tag
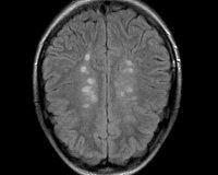
Thema Multiple Sklerose
Es ist ja seit langem bekannt, dass unser Gehirn und auch das Nervensystem wegen der relativ geringen antioxidativen Kraft der ideale Angriffspunkte für oxidative Zerstörung ist. Laut Dr. C. A. Syburra et al. der den den oxidativen Stress im Blut (Plasma, Erythrozyten, Lymphozyten) bei 28 Multiple Sklerose-Patienten und bei 30 gesunden Kontrollpersonen ermittelt indem er eine Multiparameter-Analyse der enzymatischen und nichtenzymatischen Antioxidantien Coenzym Q10 & Vitamin E, reduziertes und oxidiertes Glutathion, Superoxid Dismutase, Glutathion-Peroxidase, Katalase182 und die Fettsäuren der Phospholipide – durchgeführt hat. Im Vergleich zu den Kontrollpersonen 0,78 µg/ml ± 0,08 µg/ml hatten die MS-Patienten deutlich verminderte Q10-Plasma-Werte von nur 0,21 µg/ml ± 0,10 µg/ml.

Lymphozyten-Ubiquinon-10 wurde ebenfalls deutlich vermindert bei 8,1 ng/ml ± 4,0 ng/ml gegenüber 30,3 ng/ml ± 7,2 ng/ml Blut bei den Kontrollpersonen festgestellt. Die Plasma-Werte von Vitamin E lagen bei den MS-Patienten bei nur 7,4 ± 2,1 gegenüber 11,4 ± 1,8 ρμg/ml bei den Kontrollpersonen. Ebenfalls die Glutathion-Peroxidase-Werte der Erythrozyten waren bei den MS-Kranken mit 22,6 ± 5,7 gegenüber 36,3 ± 7,2 U/g Hb deutlich vermindert. Dieses Defizit an Antioxidantien im Blut war assoziiert mit deutlich erhöhten Werten der Fettsäuren der Phospholipide.
Das Blut der MS-Patienten zeigt deutlich den extremen oxidativen Stress, der mit der Krankheit einhergeht. Die Möglichkeit der Bekämpfung der Krankheit mit Antioxidantien und einer angemessenen Schonkost ist ein viel versprechender Weg die Krankheit in ihrem Fortschreiten aufzuhalten und zu lindern, so die Autoren auf dem Q10-Kongress in Boston. Die Antioxidantien sollten nicht nur reduziertes Glutathion beinhalten, sondern insbesondere auch Ubiquinon-10 / Ubiquinol nebst Vitamin E und Selen.
Quellennachweise:
- Shargorodsky M et al., „Effect of long-term treatment with antioxidants (vitamin C, vitamin E, coenzyme Q10 and selenium) on arterial compliance, humoral factors and inflammatory markers in patients with multiple cardiovascular risk factors.“ Nutr Metab (Lond). 2010 Jul 6;7:55. (Langzeiteffekte von Antioxidantien (Vitamin C, Vitamin E, Coenzym Q10 und Selenium) auf die Gefässe, Entzündungsmarker bei Patienten mit kardiovaskulären Risikofaktoren).
- Shults CW et al., „Effects of coenzyme Q10 in early Parkinson disease: evidence of slowing of the functional decline.“ Arch Neurol. 2002 Oct;59(10):1541-50. (Effekte von Coenzym Q10 bei Parkinson-Patienten im frühen Stadium).
- Kooncumchoo P et al., „Coenzyme Q(10) provides neuroprotection in iron-induced apoptosis in dopaminergic neurons.“ J Mol Neurosci. 2006;28(2):125-41. (Coenzym Q10 schützt Nervenzellen).
- Mizuno K et al., „Antifatigue effects of coenzyme Q10 during physical fatigue.“ Nutrition. 2008 Apr;24(4):293-9. (Anti-Erschöpfungs-Wirkung von Coenzym Q10 bei körperlicher Erschöpfung).
- Folkers K et al., „Biochemical deficiencies of coenzyme Q10 in HIV-infection and exploratory treatment.“ Biochem Biophys Res Commun. 1988 Jun 16;153(2):888-96. (Biochemischer Mangel an Q10 bei HIV-Infektionen).
- Bhagavan HN, Chopra RK. „Plasma coenzyme Q10 response to oral ingestion of coenzyme Q10 formulations.“ Mitochondrion. 2007 Jun;7 Suppl:S78-88. (Coenzym Q10 Gehalt im Plasma nach oraler Verabreichung von Coenzym Q10 Rezepturen).
- Ravaglia G et al., „Effect of micronutrient status on natural killer cell immune function in healthy free-living subjects aged >/=90 y.“ Am J Clin Nutr. 2000 Feb;71(2):590-8. (Effekte von Mikronährstoffen auf den Status der natürlichen Killerzellen in gesunden Individuen über 90 Jahren).
- Folkers K et al., „The activities of coenzyme Q10 and vitamin B6 for immune responses.“ Biochem Biophys Res Commun. 1993 May 28;193(1):88-92. (Die Aktivität von Coenzym Q10 und Vitamin B6 bei der Immunantwort).
- DiMauro S. et al., „Exercise intolerance and the mitochondrial respiratory chain.“ Ital J Neurol Sci. 1999 Dec;20(6):387-93. (Übungsintoleranz und die mitochondriale Atmungskette).
- Porter DA et al., „The effect of oral coenzyme Q10 on the exercise tolerance of middle-aged, untrained men.“ Int J Sports Med. 1995 Oct;16(7):421-7. (Die Effekte von oral eingenommenem Coenzym Q10 auf die Übungstoleranz von untrainierten Männern mittleren Alters).
- Schmelzer C et al., „Functions of coenzyme Q10 in inflammation and gene expression.“ Biofactors. 2008;32(1-4):179-83. (Funktionen von Coenzym Q10 bei Entzündungen und der Genexpression).
- Barbiroli B et al., „Improved brain and muscle mitochondrial respiration with CoQ. An in vivo study by 31P-MR spectroscopy in patients with mitochondrial cytopathies.“ Biofactors. 1999;9(2-4):253-60. (Verbesserte mitochondriale Hirn und Muskel Leistung mit Coenzym Q10. Eine in vivo Studie bei Patienten mit mitochondrialer Zytopathie).
Last updated: Oktober 13, 2024 at 3:58 a.m.
Wichtiger Hinweis: Alle hier dargestellten Inhalte dienen ausschliesslich der neutralen Information und stellen keine Empfehlungen oder Bewerbungen der beschriebenen oder erwähnten Stoffe, Methoden, Behandlungen oder Arzneimittel dar. User Text erhebt weder den Anspruch auf die Vollständigkeit noch auf die Aktualität, auf Richtigkeit oder auf Ausgewogenheit der wiedergegebenen Information. Unsere Informationen ersetzen keinesfalls die fachliche Beratung durch einen Arzt oder Heilpraktiker etc. und darf nicht als Grundlage zur Eigendiagnose als verbindlich betrachtet werden.
Das beenden oder ändern laufender Behandlungen / Therapien bei Krankheiten aller Art und Form tätigen Sie immer auf eigene Gefahr und nicht auf der Grundlage unserer Informationen. Konsultieren Sie bei gesundheitlichen Problemen oder Fragen einen Facharzt / Hausarzt Ihres Vertrauens um eine verlässliche Diagnose zu erhalten. Wir übernehmen keinerlei Haftung für Unannehmlichkeiten, Schmerzen oder Schäden, die sich aus der Anwendung der hier dargestellten Information ergeben. Sie handelt dabei immer auf eigene Verantwortung.


